#ai

See tagged statuses in the local Gatti Ninja community

How do we know how smart systems are?

“In 1967, Marvin Minksy, a founder of the field of artificial intelligence (AI), made a bold prediction: “Within a generation…the problem of creating ‘artificial intelligence’ will be substantially solved.” Assuming that a generation is about 30 years, Minsky was clearly overoptimistic. But now, nearly two generations later, how close are we to the original goal of human-level (or greater) intelligence in machines?…..”

https://www.science.org/doi/10.1126/science.adj5957

I was invited by via a third party to join a roundtable about fairness. There was a generous honorarium. They were asking me to sign an NDA. I said I wouldn't do it unless I could publicly declare my participation, the $ involved, and continue to criticise Meta based on public info. They ghosted me ...

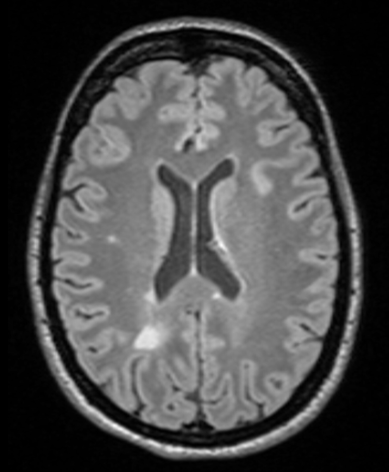
Improving treatment of : An international consortium headed by plans to develop an -supported online platform that can predict the course of multiple sclerosis on an individual basis to make it easier to identify the best treatment for specific patients. @IHI 🇪🇺 is providing almost 10 million euros to support the project.

👉 https://www.charite.de/en/service/press_reports/artikel/detail/ten_million_euros_for_improved_treatment_of_multiple_sclerosis/

Nelle “celebrazioni” per la sostituzione da parte delle AI di ogni figura professionale, gli esperti mondiali di etica non hanno ancora nemmeno accennato a come dovrebbero essere redistribuiti i guadagni e il tempo liberato dai lavori ripetitivi e faticosi (robotiti).
Quando c’è da prendere posizioni, all’improvviso, si spengono le luci e si chiudono i siparietti. Comunque, immagino che anche i reparti antisommossa saranno sostituiti da opportuni battaglioni robotizzati, che poi alla fine non faranno molto la differenza con quelli attuali.
«La Storia si ripete sempre due volte: la prima come tragedia, la seconda come farsa»

https://invidious.0011.lt/watch?v=Au2M-4C5V-g

“SHALL WE PLAY A GAME?” It was 40 years ago today, on June 3, 1983, when “War Games” was released in the US, giving us all a taste then of the dangers of giving full control to systems. Watching the trailer now, it’s fun to hear all the modem sounds and everything else:

https://youtu.be/TQUsLAAZuhU

(More about the film: https://en.wikipedia.org/wiki/WarGames )

I was in high school at the time, and was dialing into BBS’s and services, so I absolutely loved the film. 40 years!!!

Happy Caturday!

Yes, this is what you get when you text prompt your AI Art Bot with -- "Caturday!"

You get to see the furry celebrations of the day from the inside -- and it's just a little wild-eared for the innocent eye!

e salute. OMS: “Grande opportunità ma anche molti rischi. Vanno garantite sicurezza ed etica”

📌 “La fulminea diffusione pubblica e il crescente uso sperimentale per scopi legati alla salute di modelli linguistici generati dalla IA sta suscitando un notevole entusiasmo per il potenziale di supportare i bisogni di salute delle persone ma, anche per questo,è imperativo che i rischi siano esaminati attentamente”.

http://www.quotidianosanita.it/studi-e-analisi/articolo.php?articolo_id=113847

Great interview of me by John Shirley for the new futurist ezine *Instant Future*. They've interviewed Charlie Stross as well. Spurred by fellow OG cyberpunk Shirley, I wrote some heavy-duty wild-ass shit. Enjoy. https://instantfuture.org/flashforwards-next-50-years/